Last friday, my orthopaedic surgeon had a marathon of surgeries. A well-known condominium in JB town had a lift malfunction and the lift gave way 2 storeys high. It fell with 10 occupants. About 5 patients landed in my hospital after initial management at GH.
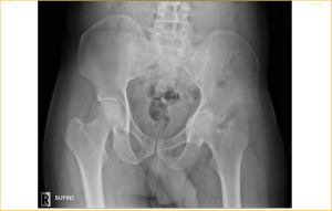
A segmental fracture of RT Femur in a 63 year old lady!
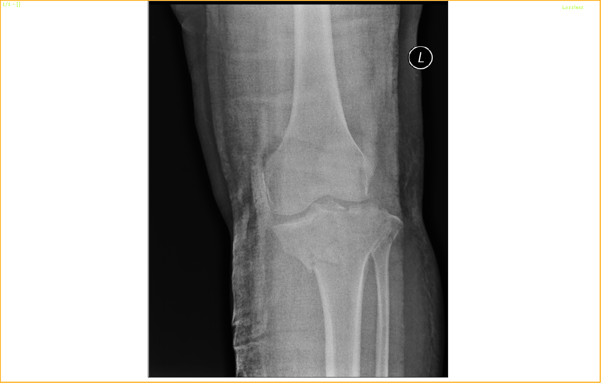
A Tibial plateau fracture with knee joint involvement in a 52-year-old lady!
Any lift phobias ????





